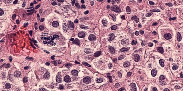
(16 de abril del 2023. El Venezolano).- En 2019, Gary Keblish recibió de su cirujano un diagnóstico que lo dejó atónito. El lunar plano de color marrón oscuro que tenía en la espalda desde que tenía memoria se había convertido en un melanoma que ya estaba avanzado y le ponía en riesgo de muerte.
“Me sentí entumecido”, dijo en una entrevista este profesor de Brooklyn, que ahora tiene 61 años. Afortunadamente, Keblish pudo apuntarse a un pequeño ensayo clínico para probar una vacuna preventiva que podría evitar que la enfermedad reapareciera.
El ensayo se centró en una vacuna personalizada con tecnología de ARNm que utilizaba mutaciones para atacar mutaciones exclusivas del cáncer del paciente, pero no las células sanas del organismo.
Telemundo 51 reseñó que todos los participantes en el ensayo recibirían el fármaco de inmunoterapia Keytruda (pembrolizumab), el tratamiento estándar para pacientes con melanoma de alto riesgo como Keblish. Dos tercios de los participantes recibirían además la vacuna.
Para más información, visita NBCNews.com.




























































