(03 de marzo del 2023. El Venezolano).- Un hombre estadounidense murió el mes pasado a causa de una infección del cerebro tras utilizar agua del grifo para enjuagarse los senos nasales en su casa al sur del estado de Florida, informan medios locales.
El 23 de febrero, tres días después de su fallecimiento, el Departamento de Salud del condado de Charlotte, donde residía el paciente, emitió una alerta pública sobre el incidente y el posible riesgo de contraer meningoencefalitis amebiana primaria (PAM).
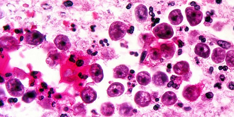
Se trata de una rara infección causada por la ameba ‘Naegleria fowleri’. Las autoridades sanitarias también señalaron que los humanos pueden contraer la enfermedad solo cuando el agua contaminada con la ameba entra por la nariz, pero no al beberla.
Los Centros para el Control y Prevención de Enfermedades (CDC, por sus siglas en inglés) declararon a FOX 4 que este es el primer caso en Florida en el que una persona se infectó a través del agua del grifo, y el primero reportado a nivel nacional durante el invierno.
Por ahora, la PAM no tiene ningún tratamiento efectivo. Según los CDC, la tasa de mortalidad por esta infección es de más del 97 %. De 154 pacientes registrados en Estados Unidos entre 1962 y 2021, solo cuatro han logrado sobrevivir a la afección.
Actualmente, el Departamento de Salud del condado de Charlotte «sigue investigando cómo se produjo esta infección y está trabajando con los servicios públicos locales para identificar cualquier vínculo potencial y tomar las medidas correctivas necesarias», reza la alerta pública.
El organismo también indicó que los residentes de la zona deben estar muy atentos al bañarse, ducharse, lavarse la cara, nadar y saltar al agua para evitar que el líquido entre por la nariz.



























































